Vertical ridge augmentation in the maxillary posterior region. Using creos™ syntoprotect Ti-Reinforced PTFE Membrane
Dr. Jesús González Medina
Spain
Patient: 67-year-old male with a complaint of difficulty with mastication and poor esthetics.
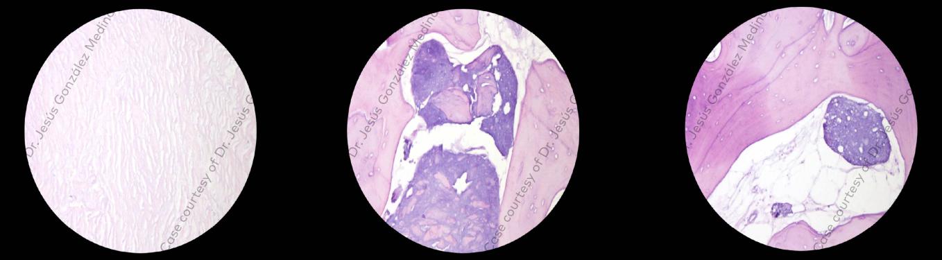
Clinical situation: Missing 24-25, and 26 exhibits grade III mobility, indicating severe bone loss vertically 11 mm at the deepest area and horizontally 2 mm, and chronic periodontitis.
Surgical solution: Extraction of 26 and vertical bone augmentation using creos syntoprotect Ti-reinforced PTFE membrane and 50% xenograft and 50% autologous bone to attain the necessary bone height for implant placement of NobelActive® TiUltra™ implants.
Restorative solution: Screw-retained implant bridge with ultra-polished zirconia crowns.
Surgery date: September 15, 2023
Total treatment time: 2 years
Tooth position: 24, 25, and 26
-
creos™ syntoprotect meshNon-resorbable reinforced PTFE mesh for the stabilization and support of bone grafts in horizontal and vertical ridge augmentations.
-
NobelActive®An implant like no other.
Sign up for our blog update
Get the latest clinical cases, industry news, product information and more.
© Nobel Biocare Services AG, 2024. All rights reserved. Nobel Biocare, the Nobel Biocare logotype and all other trademarks are, if nothing else is stated or is evident from the context in a certain case, trademarks of Nobel Biocare. Please refer to nobelbiocare.com/trademarks for more information. Product images are not necessarily to scale. All product images are for illustration purposes only and may not be an exact representation of the product. Some products may not be regulatory cleared/released for sale in all markets. Please contact the local Nobel Biocare sales office for current product assortment and availability. Caution: Federal (United States) law or the law in your jurisdiction may restrict this device to sale by or on the order of a dentist or a physician. See Instructions For Use for full prescribing information, including indications, contraindications, warnings and precaution. Dr. Jesús González Medina is a paid consultant for Nobel Biocare. The opinions expressed are those of the doctor. Nobel Biocare is a medical device manufacturer and does not dispense medical advice. Clinicians should use their own professional judgment in treating their patients. Individual patient results may vary.